Колл-центр работает ежедневно с 7-00 до 22-00
Записаться на прием

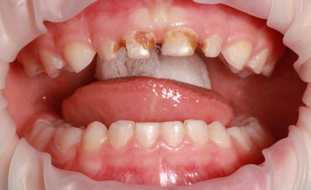
Лечение кариеса зубов у детей

Записаться на прием

При лечении кариеса у детей применяются мягкие и щадящие способы. Нашим приоритетом является комфорт маленького пациента.

Начнем с того, что анестезия для детей отличается от таковой для взрослых пациентов. Перед инъекцией слизистая места ввода иглы обрабатывается анестезирующим гелем, после чего проводится введения небольшого количества препарата сверхтонкой иглой, в результате нет неприятных ощущений характерных для укола.

Безболезненность стоматологического лечения сегодня - это один из основных приоритетов современной детской стоматологии.

Лечение кариеса у детей не должно стать причиной психологической травмы. Поэтому детские стоматологи клиник IMMA прилагают все усилия для того, чтобы адаптировать, отвлечь и заинтересовать ребенка. Результат - наши маленькие пациенты чувствуют себя в безопасности.

Приступая к лечению кариеса у детей, врачу необходимо убедиться, что ребенок доверяет ему. Мы против удержания детей во время лечения. Лечение проводится в полном взаимопонимании. Используются только специальные материалы, одобренные для лечения детей, производства Германия, Швейцария, Япония.

Всем известен звук стоматологической машины, даже взрослым непросто переносить его специфичный жужжащий тон, а детям он нравится еще меньше. Поэтому наши врачи минимально используют бормашину и стараются убрать пораженные ткани из молочных зубов с помощью специальных инструментов.

Доверяя нам лечение своих детей, Вы делаете правильный выбор!

Клиники, предоставляющие услугу
Марьино

м. Братиславская (р-он Марьино, ЮВАО)

ул. Перерва, д. 39, 41

Коммунарка

м. Новомосковская (ТиНАО)

Липовый парк, д. 4, к. 1, стр. 1 (К1); д. 4, к.3, стр. 2 (К2)

Строгино

м. Строгино (СЗАО)

ул. Маршала Катукова, д. 24, к. 5

Клиники, предоставляющие услугу на карте
  • Лечение поверхностного кариеса инфильтрационным методом ICON
    5 280 руб.

Остались вопросы? Мы вам поможем

Оставьте свои данные, мы свяжемся с вами в ближайшее время и проконсультируем по всем вопросам
Ирина Евгеньевна Д.

С детства боялась стоматологов, но попав на прием к Назаровой Янине Николаевне поняла, что все мои переживания и страхи напрасны. Замечательный, добрый и внимательный врач. Всю свою работу делает качественно. Теперь с большим удовольствием хожу к ней. Янина Николаевна спасибо Вам огромное

12 нояб. 2025 г.

Ирина Д.

Огромное спасибо - Янина Николаевна за ваш профессионализм и доброту. Вы врач, который смог перебороть мой страх. Каждый раз прихожу к Вам с радостью. Благодарю Вас за вашу работу!

12 нояб. 2025 г.

Мария Ш.

Более 6 лет обслуживаюсь в клинике сама и доверяю здоровье моих 5 детей. Хороший сервис. Придя к педиатру, знаю что при необходимости сразу можно сдать анализы и врач назначит корректное лечение. Через приложение или call-центр могу записаться к любому специалисту на удобный день и время. Отдельная любовь нашей семьи - стоматолог Янина Николаевна Назарова. Дети с радостью бегут к ней показать свои зубки. Педиатры работают много лет и знают моих детей и их особенности. Ну и отдельно хочу отметить, что 30 мин на приём - достаточно, чтобы прием прошёл продуктивно.

3 сент. 2025 г.

Елена

Хочу выразить благодарность Александре Алексеевне. Изначально должны были лечить у другого врача в этой клинике , но ребенок приболел и перезаписались. Ни на секунду не пожалели. Превосходный профессионал своего дела. Лечили под маской Будем и дальше ходить только к ней, надеюсь и научимся без маски.

21 июл. 2025 г.

Елена С.

Любовь Геннадьевна! Спасибо большое за профессионализм, заботу и внимательное отношения! Благодаря Вам моя улыбка стала здоровой и красивой.

27 июн. 2025 г.

Елена Т.

Юрченко Любовь Геннадьевна самый лучший стоматолог за 45 лет личного опыта лечения зубов. Кроме того доброжелательный и грамотный врач. БЕРЕГИТЕ! Только ради нее ходим в ИММУ! Нет слов, чтобы было достаточно

27 июн. 2025 г.

Ольга Б.

Восхитительный врач Юрченко Л.Г.

27 июн. 2025 г.

Юлия

Замечательный врач и человек, Сухрякова Александра Алексеевна, настоящий профессионал своего дела, буквально сотворила чудо, вылечив за месяц 7 зубов моей 5летней внучке, с которой мы ходили по врачам 1,5 года до этого и она даже рот не хотела открывать. Благодаря душевности врача и её помощницы Александры, внучка, сидя в кресле, испытывала только удовольствие, она весело болтала с врачами, смотрела мультики, слушала врача беспрекословно. После лечения каждый спрашивала, а завтра мы сюда придём? Волшебный тандем Александр сотворил чудо! Мы счастливы! Очень рекомендую!

26 июн. 2025 г.

Ксения

Лучший врач. Контакт с ребенком устанавливается за минуту. Лечение без боли и страха. Готова ездить на любой конец Москвы за Александрой Алексеевной и всем рекомендую

2 июн. 2025 г.

Иса

От всей души благодарю самого лучшего стоматолога! Спасибо Вам огромное!!!

5 мая 2025 г.

Светлана П.

Не первый раз лечимся у этого врача. Прекрасный специалист со знанием своего дела. Под седацией поставили коронки ребенку, перенес хорошо. Зубик под коронкой не болит и прослужит ребенку подольше, без риска удаления.

16 апр. 2025 г.

Людмила

Хочу выразить огромную благодарность Сухряковой Александре Алексеевне за чуткий подход к детям !! За профессиональную работу !! Ребенок очень боялся стоматологов, хотели делать зубы под наркозом !! Но Александра Алексеевна, так смогла завлечь ребенка, что спокойно залечили пульпитные зубки ! Теперь ребенок совершенно спокойно идет к стоматологу лечить зубы!!!самое главное без слез и истерик!!! Рассказывая другим:» какой замечательный врач мне лечит зубы - и совсем не страшно»!!! Огромное спасибо Назаровой Светлане за индивидуальный подход к каждому пациенту, за доброту !!! Всему персоналу !! И профессионалам своего дела - анестезиологам!

26 мар. 2025 г.

Вероника

Сегодня были на приеме у врача и ассистента Алины Юнусовой. Хочу выразить благодарность за помощь и поддержку. Это шикарные специалисты. Грамотные и четкие указания помогли моему ребенку успокоиться и довериться врачу. Ассистент Алина просто умничка все делала быстро четко и вовремя. Всем рекомендую эту клинику. Огромное спасибо низкий поклон.

1 мар. 2025 г.

Юлия

Я впервые столкнулась с проблемой сильного кариеса верхних передних молочных зубов сына (ему на момент лечения было 2 года 4 месяца). Мы с супругом посетили до этого 4 медицинских центра (стоматологию), везде был разный подход к лечению, понятно, что без наркоза было не обойтись и нужно ставить 4 коронки! Светлану Олеговну мне порекомендовал один очень хороший доктор, которому я доверяю и я сразу поехала к ней с сыном. Мне с первого взгляда она понравилась, очень вежливая, внимательная, сразу нашла подход к сыну, при тщательном осмотре сделала снимки (нигде он не позволял это сделать) и после этого объяснила подробно план лечения. У сыночка сейчас потрясающие зубки, белоснежная улыбка, он легко кушает и очень хорошо стал разговаривать. Само лечение заняло 2 часа, сыну пролечили пульпитные зубы, поставили коронки, доктор ещё сделала герметизацию фиссур на жевательные зубки, что тоже очень важно для нас. Наши зубки сейчас в идеальном состоянии, нет нигде кариеса! Я очень рада, что доверилась Светлане Олеговне и она вовремя провела лечение.

26 февр. 2025 г.

Ксения

Янина Николаевна - врач от Бога! Она не просто профессионал высочайшего класса, а еще очень чуткий, добрый, веселый человек и просто прекрасная девушка! Как она лечит зубки деткам…) порхает как фея над ними! Все быстро, весело и совсем не больно! Янина Николаевна, если Вы читаете этот отзыв - хочу сказать Вам огромное материнское спасибо за Ваш труд и за здоровые зубы моей дочки!

15 дек. 2024 г.

Динара

Были у Веры Михайловны на приеме с ребёнком, пролечила зуб и провела гигиеническую чистку безболезненно и качественно, ребёнок чувствовал себя спокойно, не нервничал и остался довольный после процедуры еще и подарок вручили)) Вера Михайловна располагающий к себе врач, с детками очень внимательная и добрая.

1 дек. 2024 г.

Эльвира

Хорошая клиника, доброжелательный и отзывчивый персонал! Отдельно хочу выразить свою благодарность замечательному доктору Светлане Олеговне Норовецкой за её труд и профессионализм! Спасибо!

30 окт. 2024 г.

Максим

Неоднократно лечил зубы у Юрченко Л.Г Спасибо ей огромное за её профессионализм! Всё прошло быстро, качественно, безболезненно! Рекомендую!

21 окт. 2024 г.

Ирина

Была на приеме, у доктора Норовецкой Светланы Олеговны, лечусь у нее уже 6 лет, все очень круто не больно и самое главное профессионально, доктор обладает хорошей коммуникацией.

12 июл. 2024 г.

Ирина

Хотели бы выразить огромную благодарность Сухряковой Александре Алексеевне. Дочке 7 лет. Впервые лечили зубы. Обошли несколько врачей. Но как только пришли на прием к Александре Алексеевне решили, что лечить будем у нее. Врач превосходный!! Быстро находит общий язык с ребенком. Врач уделила время дочке, чтобы познакомить ее со всеми инструментами. Во время лечения всегда подбадривала и поддерживала ребенка. Я очень рада, что удалось найти своего стоматолога. Всем рекомендую Александру Алексеевну!

18 июн. 2024 г.

Наши специалисты
Кочетова
Юлия
Валерьевна
Стоматолог, Стоматолог-терапевт, Детский стоматолог
Стаж работы с 1993 года
Врач первой категории Врач высшей категории
Марьино
Сухрякова
Александра
Алексеевна
Стоматолог, Детский стоматолог
Стаж работы с 2009 года
Химки
Мамонтова
(Питерская)
Марина
Леонидовна
Стоматолог, Стоматолог-терапевт, Детский стоматолог, Стоматолог-хирург, Стоматолог общей практики
Стаж работы с 1999 года
Строгино
Бахаровская
Наталья
Евгеньевна
Стоматолог, Стоматолог-терапевт, Детский стоматолог
Стаж работы с 2006 года
Коммунарка
Норовецкая
Светлана
Олеговна
Стоматолог, Стоматолог-терапевт, Детский стоматолог
Стаж работы с 2005 года
Зав. отделением стоматологии
Химки
Хасбулатова
Сабрина
Ибрагимовна
Стоматолог, Стоматолог-терапевт, Детский стоматолог
Стаж работы с 2010 года
Химки
Андреева
Елена
Александровна
Стоматолог, Стоматолог-терапевт, Детский стоматолог
Стаж работы с 1999 года
Марьино
Юрченко
Любовь
Геннадьевна
Стоматолог, Стоматолог-терапевт, Детский стоматолог
Стаж работы с 2015 года
Коммунарка
Понкратова
Ольга
Александровна
Стоматолог, Детский стоматолог
Стаж работы с 2003 года
Марьино
Балуева
Вера
Михайловна
Стоматолог, Стоматолог-терапевт, Детский стоматолог
Стаж работы с 2013 года
Строгино
Тимошенко
Полина
Сергеевна
Стоматолог, Стоматолог-терапевт, Детский стоматолог
Стаж работы с 2019 года
Химки
Назарова
Янина
Николаевна
Стоматолог, Стоматолог-терапевт, Детский стоматолог
Стаж работы с 2012 года
Строгино

Полезные статьи

Уретрит

В центрах медицины IMMA выполняются диагностические мероприятия, медикаментозная и альтернативная терапия любых патологий половой, мочевыделительной сферы разного происхождения.

СРК: причины, симптомы

Сеть медицинских клиник «IMMA» предлагает записаться на прием к опытному специалисту-гастроэнтерологу. Каждая из наших клиник укомплектована высококачественным диагностическим оборудованием, позволяющим максимально точно определить заболевание каждого пациента. Удобное расположение клиник позволит вам посетить врача рядом с домом или работой.

Планирование и ведение беременности

Планирование беременности – эти слова все чаще и чаще употребляются на приеме врача гинеколога. А что же стоит за этими словами?

Особенности течения уретритов в зависимости от возбудителя

Выделено более 230 штаммов бактерий, которые при определенной ситуации способны вызнать воспаление слизистой уретры.

Антибиотики при каждом случае ОРВИ

Во время сезона, когда вирусы и бактерии наступают, все мы торопимся запастись лекарствами. Важной покупкой становятся АНТИБИОТИКИ. Их выбор в аптеках сейчас очень большой, и мы в этом ассортименте уже неплохо ориентируемся. А потому самостоятельное назначение и применение антибиотиков кажется нам чем-то обыденным.

Лечение постинсультной, посттравматической спастичности

  После перенесенного инсульта, травмы головного мозга жизнь пациента, а также его семьи, меняется радикальным образом вследствие потери трудоспособности самим пациентом, расходов, связанных с последующим уходом за ним и реабилитацией.

Массаж малыша. Советы родителям.

Массаж оказывает всесторонне развитие на организм ребенка. Реакция организма на массаж различна и зависит от применяемых приемов, продолжительности воздействия.

Дополнительная вакцинация

Вакцины против пневмококковой инфекции эффективно сочетаются с гриппозными вакцинами, снижая частоту ОРЗ, включая бронхиты и пневмонию в 14 раз.

Вакцинация против клещевого энцефалита

ИНФЕКЦИИ, ПЕРЕДАЮЩИЕСЯ КЛЕЩАМИ КЛЕЩЕВОЙ ЭНЦЕФАЛИТ – вирусная инфекция, которая поражает центральную нервную систему. 

Поликистоз яичников

Что такое поликистоз яичников? Каковы его симптомы, опасность и последствия? Как лечится поликистоз? Ответы на эти и многие другие вопросы вы найдете в этой статье!

Имплантация зубов Mis

Сегодня завод MIS - одно из самых крупных, современных, технологичных и быстроразвивающихся предприятий в области дентальной имплантологии.

Полип цервикального канала

Полип цервикального канала нарушает функционирование шейки матки, способствует формированию хронического очага инфекции и появлению кровянистых выделений в межменструальные периоды.

Гайморит: причины, симптомы и эффективные методы лечения

Гайморит нарушает носовое дыхание, вызывает лицевые боли, повышенную температуру тела и другие неприятные симптомы. Он может давать тяжелые осложнения, а у некоторых пациентов переходит в хроническую форму.

Обзор детских инфекций

Каждого взрослого при заполнении медицинской карты спрашивают: «Какими детскими инфекциями болели?»

Неправильный прикус у детей: причины и последствия

Кроме неровностей зубов при таком заболевании наблюдается и их неправильное расположение из-за деформации челюсти.

Подготовка к колоноскопии

Колоноскопия является одним из самых информативных способов первичной диагностики заболеваний прямой и толстой кишки, а также может назначаться в терапевтических целях. Но чтобы получить качественный результат и максимально полные данные, крайне важно соблюдать правила подготовки к процедуре.

Польза плавания для детей разного возраста

Знакомство малыша с водой начинается в первый день после выписки из роддома. 

Нормы роста и веса детей и подростков

Анализ основных антропометрических показателей на момент обследования дает возможность оценить физическое состояние ребенка, в динамике – темпы физического развития.

Ожог у ребенка? Не паникуйте — действуйте

Расскажем, что делать в первые секунды после ожога, что нельзя делать ни в первые секунды, ни позже, когда можно лечить ребенка самостоятельно, а в каких случаях лучше обратиться к врачу.

Как распознать аппендицит у ребенка

Когда у ребенка болит живот, родители беспокоятся: не аппендицит ли это? Ведь известно, что аппендицит нужно лечить как можно раньше, чтобы не было осложнений. А вдруг это «обычная» боль в животе, которая не опасна и пройдёт сама по себе!