История пациента
Родители обратились в клинику с ребёнком 4 лет. Со слов родителей, ребёнок жаловался на дискомфорт при приёме пищи, периодически отказывался от твёрдой еды, стал капризным во время чистки зубов. Также взрослых беспокоило изменение цвета зубов и появление видимых дефектов. Учитывая возраст пациента, выраженный страх перед стоматологическим лечением и значительный объём необходимого вмешательства, было принято решение провести санацию полости рта в условиях общего наркоза.
Диагностика
При осмотре выявлены множественные кариозные поражения молочных зубов, в том числе на жевательной и фронтальной группах. Часть зубов имела значительное разрушение коронковой части, что делало невозможным простое пломбирование. Состояние зубов требовало комплексного восстановления с применением ортопедических конструкций.
О процедуре
Санация полости рта в условиях общего наркоза применяется в детской стоматологии в случаях большого объёма лечения, раннего возраста пациента или выраженного стоматологического страха. Такой подход позволяет выполнить все необходимые манипуляции за одно посещение, без стресса для ребёнка и с максимальным комфортом.
Во время лечения ребёнок находится под постоянным контролем анестезиологической бригады, что обеспечивает безопасность и стабильность состояния на протяжении всей процедуры.
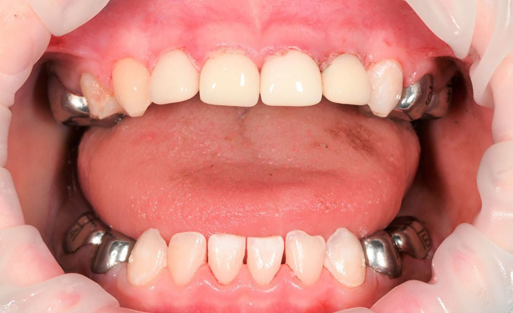
Лечение
В рамках одного наркозного пособия проведено комплексное лечение и восстановление зубов. Молочные дальние жевательные зубы восстановлены с использованием педиатрических коронок, которые надёжно защищают ослабленные ткани зуба и позволяют сохранить его функцию до физиологической смены. Передние зубы восстановлены коронками из диоксида циркония — эстетичными и биосовместимыми конструкциями, максимально приближенными по внешнему виду к натуральным зубам.
Общее время лечения составило 4 часа, за которые был выполнен весь необходимый объём стоматологической помощи.

Результат
В результате лечения полностью восстановлена функция и эстетика молочных зубов. Устранены очаги инфекции, предотвращено дальнейшее разрушение зубов. Ребёнок после лечения не испытал психологического стресса, связанного со стоматологическими манипуляциями. Родителям даны подробные рекомендации по уходу за полостью рта и профилактике кариеса.