Колл-центр работает ежедневно с 7-00 до 22-00
Записаться на прием

Лечение кариеса ребёнку в наркозе

Полное восстановление молочных зубов за один визит.

Услуга: Лечение зубов во сне детям

История пациента

В клинику обратились родители малыша 3 лет. Ребёнок испытывал выраженный страх перед стоматологическим лечением, не позволял провести полноценные манипуляции в условиях обычного приёма. При этом состояние зубов требовало своевременного вмешательства.

Клиническая ситуация

  • множественные кариозные поражения молочных зубов
  • необходимость комплексного лечения
  • невозможность проведения процедур в сознании из-за возраста и тревожности ребёнка

Выбранное решение

Для безопасного и комфортного лечения было принято решение выполнить санацию полости рта в условиях медикаментозного сна (наркоза). Такой подход позволяет провести весь необходимый объём работы без стресса для маленького пациента.

Ход лечения

  • лечение проведено за один визит
  • общее время работы врача — 1 час 30 минут
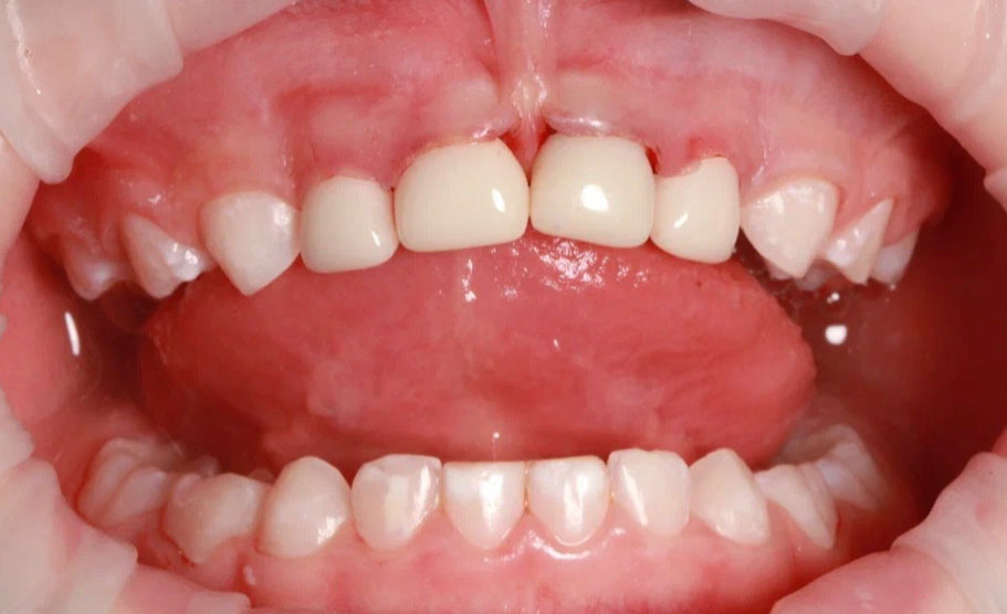
  • выполнено восстановление поражённых зубов
  • передние молочные зубы укреплены коронками из диоксида циркония

Циркониевые коронки были выбраны как наиболее эстетичное и надёжное решение для фронтальной группы зубов у детей.

Лечение кариеса ребёнку в наркозе

Почему диоксид циркония

Коронки из диоксида циркония:

  • обладают высокой прочностью
  • биосовместимы и безопасны для детской стоматологии
  • максимально приближены к естественным зубам по внешнему виду
  • устойчивы к окрашиванию и износу

Результат

  • полностью устранены очаги кариеса
  • восстановлена форма и функция зубов
  • достигнут хороший эстетический эффект
  • лечение прошло без психологической травмы для ребёнка

Родители отметили значительное улучшение внешнего вида зубов и спокойное состояние малыша после процедуры.

Когда рекомендуется лечение в наркозе

Метод может быть показан, если:

  • ребёнок слишком мал для сотрудничества с врачом
  • присутствует выраженный страх или негативный опыт
  • требуется большой объём стоматологического лечения
  • важно выполнить все процедуры за минимальное количество визитов
Норовецкая Светлана Олеговна
Стоматолог, Стоматолог-терапевт, Детский стоматолог
Стаж работы с 2005 года
Химки
Стоимость приема — 1900 руб.
Записаться на прием