Колл-центр работает ежедневно с 7-00 до 22-00
Записаться на прием
Уважаемые пациенты!
Для перехода на сайт Клиники МИР (ранее Клиника ИММА Куркино), перейти по ссылке
По всем вопросам обращайтесь по тел. +7 (495) 660-30-90.

Перейти

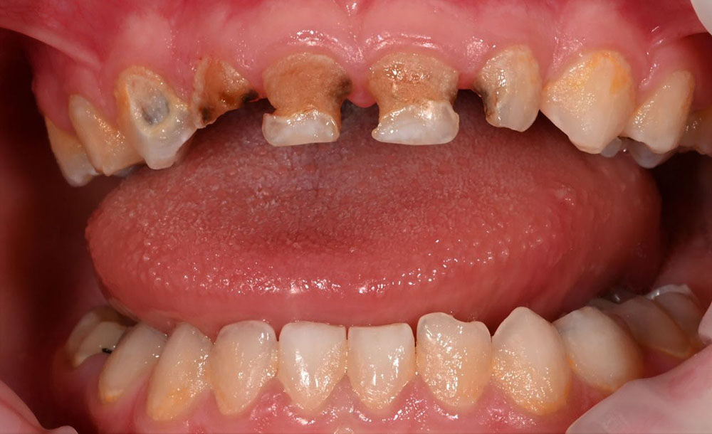
Лечение кариеса молочных зубов циркониевыми коронками

Записаться на прием

Некоторые родители сомневаются, ставят ли коронки на молочные зубы ребенку, и нужно ли вообще лечить временные зубы, которые рано или поздно выпадут. Да, лечить их нужно. Мы расскажем, как лечат детский кариес и зачем. В клиниках IMMA в рамках лечения этого заболевания можно поставить циркониевые коронки: они крепкие, хорошо выглядят и не портят эмаль соседних зубов.

Зачем восстанавливать молочные зубы

Некоторые родители удивляются: зачем коронки на молочные зубы детям, если зубы всё равно выпадут. Действительно: зубы у детей выпадают, да только случится это не сегодня и не завтра, а через несколько лет. И за эти годы может появиться зубная боль, проблемы с жевательной функцией, речью, неэстетичный внешний вид зубов, плохой запах изо рта и, как следствие, нарушение адаптации ребенка к детскому коллективу. В тяжелых случаях возможно даже повреждение зачатков постоянных зубов.

Вот ещё аргументы, зачем детям ставят коронки на молочные зубы, а не просто ждут их выпадения:

  • в детском возрасте эмаль слабая, зуб разрушается очень быстро;
  • из-за боли, чувствительности, потери коронковой части зубов нарушается жевательная функция, возможен плохой аппетит, избирательное питание, и это плохо сказывается на здоровье ребенка;
  • недоедание приводит к дефициту нутриентов, гиповитаминозу, анемии, в тяжелых случаях – к нарушению физического развития, отставании в росте;
  • недостаточное пережевывание пищи вредит желудку и кишечнику;
  • на фоне кариозного поражения зубов может развиться пульпит и периодонтит.

Если не проводится лечение кариеса молочных зубов у детей, то возможна преждевременная потеря зубов. Она, в свою очередь, помимо нарушения жевательной функции, приводит к устойчивому нарушению речи, повышает риск формирования зубочелюстных аномалий, может привести к неправильному росту постоянных зубов. В итоге возрастает риск, что в будущем ребенку потребуется ортодонтическое лечение: исправление неправильного прикуса брекетами. Но своевременное лечение кариеса молочных зубов проще, дешевле и быстрее, чем ортодонтическое лечение, которое может длиться годами.

Клиники, предоставляющие услугу
Марьино

м. Братиславская (р-он Марьино, ЮВАО)

ул. Перерва, д. 39, 41

Строгино

м. Строгино (СЗАО)

ул. Маршала Катукова, д. 24, к. 5

Коммунарка

м. Новомосковская (ТиНАО)

Липовый парк, д. 4, к. 1, стр. 1 (К1); д. 4, к.3, стр. 2 (К2)

Химки

м. Планерная (р-он Химки, СЗАО)

МО, г. Химки, ТЦ Мега Химки, мкр. ИКЕА, к.2

Клиники, предоставляющие услугу на карте
  • Восстановление молочного зуба коронкой
    7 700 руб.
  • Лечение кариеса молочного зуба в условиях наркоза
    5 000 руб.
  • Лечение кариеса молочного зуба с покрытием педиатрической коронкой в условиях наркоза
    7 000 руб.
  • Лечение кариеса постоянного зуба в условиях наркоза
    8 000 руб.

Остались вопросы? Мы вам поможем

Оставьте свои данные, мы свяжемся с вами в ближайшее время и проконсультируем по всем вопросам

Показания к установке коронки ребенку на молочный зуб

Далеко не всегда при кариесе ставят коронки детям на молочные зубы. В детском возрасте гораздо чаще используют консервативные способы терапии и пломбирование.

Но проблема в том, что молочные зубы более восприимчивы к кариесу, чем постоянные. Поэтому у одного пациента во рту наблюдается кариозное поражение сразу нескольких зубов. Кариес пребывает на разных стадиях развития. Некоторые зубы ещё можно лечить консервативно, другие в значительной степени разрушены: их придется пломбировать или протезировать коронками.

Поставить коронку на зуб ребенку необходимо в таких случаях:

  • значительное разрушение коронковой части временного зуба сразу на нескольких поверхностях;
  • восстановление коронковой части после пульпотомии или пульпэктомии (при глубоком кариесе);
  • реставрация зуба при высокоактивном кариозном процессе;
  • сохранение нормального интервала между зубами в случае преждевременной потери временных зубов (чтобы постоянные зубы прорезывались в правильном направлении, и чтобы ребенок мог нормально жевать и разговаривать в период ожидания появления постоянных зубов).

Главные причины, зачем детям ставят коронки на зубы: реабилитация внешнего вида, жевательной функции, создание благоприятных условий для роста постоянных зубов, защита от дальнейшего кариозного разрушения.

Противопоказания

Коронки на зубы детям при кариесе не ставят в таких случаях:

  • значительное повреждение корня зуба (резорбция более 50% длины);
  • перелом в области фуркации корней моляров;
  • недостаточный объем твердых тканей зуба (клиническая коронка менее 2 мм), когда установление коронки технически невозможно (её не на что крепить);
  • значительное снижение высоты прикуса;
  • аллергические реакции на материал коронок (диоксид циркония относится к гипоаллергенным материалам, в то время как аллергия встречается преимущественно на металлы).

Преимущества лечения кариеса циркониевыми коронками

Очень часто родители ставят металлические коронки детям на молочные зубы, потому что они недорогие. Но других преимуществ у этой разновидности зубных протезов нет. Они очень твердые и стирают противоположные зубы, проводят тепло и холод, вызывают неприятный привкус во рту, плохо выглядят. Многие клиники вообще отказались от использования таких коронок.

В клиниках IMMA используются протезы из диоксида циркония. Это разновидность керамики, отличающаяся высокой прочностью. Она неплохо выглядит, может быть окрашена под цвет соседних зубов или облицована керамикой для приобретения максимально естественного вида. Вы можете без опасений поставить такие коронки на передние зубы своим детям, чтобы они имели хорошую внешность, и чтобы во взрослом возрасте не стеснялись своих детских фотографий с «железными» зубами.

Преимущества циркониевых коронок:

  • гипоаллергенные (безметалловые);
  • очень крепкие, можно ставить на жевательные зубы;
  • достаточно эстетичные, можно ставить на передние зубы (но для максимальной эстетики лучше использовать не цельные, а облицованные керамикой коронки из диоксида циркония).

Есть и недостаток. По сравнению с металлическими и металлокерамическими, у циркониевых коронок выше цена.

Подготовка и процедура установки

Перед установкой циркониевых коронок ребенку может потребоваться:

  • консервативное лечение кариеса, включая обработку зубов, которые не требуют протезирования;
  • санация ротовой полости;
  • удаление пульпы зуба, который подвергается протезированию;
  • пломбирование кариозных полостей проблемного зуба.

Установка проводится на пролеченные и подготовленные зубы. Она занимает не более 10-20 минут. Коронка выглядит как колпачок, который надевают сверху на оставшуюся часть зуба. Для детей могут быть использованы коронки стандартных размеров, которые сразу фиксируются на зуб, без снятия слепков и индивидуального изготовления. В результате сокращается стоимость, длительность лечения, время до достижения окончательного результата. Уменьшается количество посещений врача, а значит и уровень стресса для ребенка.

Записаться на прием

Для лечения детского кариеса молочных зубов вы можете обратиться в клинику IMMA в Москве. Мы умеем найти подход к маленьким пациентам, используем безопасные и щадящие методики, поэтому ваши дети не будут бояться наших стоматологов.

На приеме врач оценит состояние зубов, а затем расскажет вам, нужна ли коронка на зуб ребёнку и зачем. Точную цену нельзя узнать заранее, так как у разных детей существенно отличается тяжесть патологии, количество вовлеченных зубов и, соответственно, объем и тип проводимых процедур. Цены на коронки для молочных зубов указаны на этой странице и в прайсе на нашем сайте, а общую стоимость лечения кариеса мы сообщим вам сразу после диагностики.

Елена Т.

Юрченко Любовь Геннадьевна самый лучший стоматолог за 45 лет личного опыта лечения зубов. Кроме того доброжелательный и грамотный врач. БЕРЕГИТЕ! Только ради нее ходим в ИММУ! Нет слов, чтобы было достаточно

27 июн. 2025 г.

Эльвира

Хорошая клиника, доброжелательный и отзывчивый персонал! Отдельно хочу выразить свою благодарность замечательному доктору Светлане Олеговне Норовецкой за её труд и профессионализм! Спасибо!

30 окт. 2024 г.

Назарова Елизавета

Дочке 2,5. Наталья Евгеньевна нашла подход к такому маленькому ребенку. После травмы погиб нерв в зубе. Лечение проводили без анестезии, дочка спокойно смотрела мультик. Огромная благодарность.

30 сент. 2021 г.

Белкина Мария

Пришли на консультацию к Ольге Александровне с дочкой. Доктор подробно проконсультировала по состоянию и дальнейшему лечению. Очень внимательный врач, ответила на все мои вопросы, пришли второй раз, поставили пломбу. Доктор-профессионал своего дела!

15 дек. 2021 г.

Юлия

Я впервые столкнулась с проблемой сильного кариеса верхних передних молочных зубов сына (ему на момент лечения было 2 года 4 месяца). Мы с супругом посетили до этого 4 медицинских центра (стоматологию), везде был разный подход к лечению, понятно, что без наркоза было не обойтись и нужно ставить 4 коронки! Светлану Олеговну мне порекомендовал один очень хороший доктор, которому я доверяю и я сразу поехала к ней с сыном. Мне с первого взгляда она понравилась, очень вежливая, внимательная, сразу нашла подход к сыну, при тщательном осмотре сделала снимки (нигде он не позволял это сделать) и после этого объяснила подробно план лечения. У сыночка сейчас потрясающие зубки, белоснежная улыбка, он легко кушает и очень хорошо стал разговаривать. Само лечение заняло 2 часа, сыну пролечили пульпитные зубы, поставили коронки, доктор ещё сделала герметизацию фиссур на жевательные зубки, что тоже очень важно для нас. Наши зубки сейчас в идеальном состоянии, нет нигде кариеса! Я очень рада, что доверилась Светлане Олеговне и она вовремя провела лечение.

26 февр. 2025 г.

Людмила

Выражаю огромную благодарность Бахаровской Н. Е . за высочайший профессионализм, чуткое отношение пациентам,внимание и доброту. Обращались с ребёнком по поводу реставрирования зубов ,сделано просто супер СПАСИБО ВАМ БОЛЬШОЕ!!!

6 дек. 2020 г.

Аделина

Хочу оставить благодарность врачу. Вера Михайловна провела прием с особой внимательностью, предоставила все необходимые рекомендации до и после процеуры. Врач является профессионалом своего дела, поэтому при необходимости обращусь к ней еще раз.

2 нояб. 2022 г.

Мария Ш.

Более 6 лет обслуживаюсь в клинике сама и доверяю здоровье моих 5 детей. Хороший сервис. Придя к педиатру, знаю что при необходимости сразу можно сдать анализы и врач назначит корректное лечение. Через приложение или call-центр могу записаться к любому специалисту на удобный день и время. Отдельная любовь нашей семьи - стоматолог Янина Николаевна Назарова. Дети с радостью бегут к ней показать свои зубки. Педиатры работают много лет и знают моих детей и их особенности. Ну и отдельно хочу отметить, что 30 мин на приём - достаточно, чтобы прием прошёл продуктивно.

3 сент. 2025 г.

Юлия

После неудачного похода к детскому стоматологу в другой клинике, нам посоветовали обратиться к доктору Питерской. После первого визита мы поняли, что нашли «своего» врача. Марина Леонидовна очень опытный профессионал, очень добрый и отзывчивый человек, прекрасно ладит с детьми и их родителями! Атмосфера на приеме очень комфортная и душевная. Теперь лечимся у неё почти всей семьёй!

7 февр. 2018 г.

Роман

Выражаю большую Благодарность и признательность Врачу Марине Леонидовне! Уникальный профессионал и психолог (к каждому пациенту свой подход), человек с большим сердцем! Не первый год хожу именно к этому специалисту и получаю медицинскую помощь в полном объёме .

26 мар. 2022 г.

Ольга

Врач с большой буквы! Мастер своего дела! Ничего лишнего, все по существу, где можно, если есть возможность сохранить зуб, сделает все для этого. Никакого развода на деньги. Теперь только к ней.

26 янв. 2022 г.

Бикменева Е.Г.

От своего лица и от лица моей старшей дочери Бикменевой Дианы выражаю благодарность Елене Александровне! Она просто нас спасла! Она высококвалифицированный специалист, понимающий человек, и вообще Врач с большой буквы! За свои 39 лет я не встречала таких замечательных врачей и добрых людей! Именно это сочетание должно быть у каждого медика! Все должны ровняться на Елену Александровну!

23 авг. 2019 г.

Иван

Был на приёме у врача, все супер пломбы поставлены идеально, перестало беспокоить застревание пищи и боль. Врач очень внимательно выслушала меня, сделали снимок и приступили к лечению. Отдельное спасибо ассистенту Людмиле была очень внимательна, все прошло безболезненно и быстро.

25 мая 2023 г.

Иса

От всей души благодарю самого лучшего стоматолога! Спасибо Вам огромное!!!

5 мая 2025 г.

Захаренков П. Д.

Огромное спасибо нашей любимой Ольге Александровне. Для нас самый идеальный стоматолог, сын без скандалов воспринимает новость о походе к стоматологу и также спокойно даёт себя лечить

30 июл. 2022 г.

Овчинникова Татьяна

Огромное спасибо врачу-стоматологу Назаровой Я.Н. за внимательность, чуткость, профессиональный подход. Янина Николаевна грамотный и талантливый специалист, обладает высокими психологическими способностями и ювелирный мастер. Впервые столкнулась с таким пониманием, внимательностью и заботой, которая в сочетании с высоким профессионализмом и четкостью в работе дает потрясающие результаты и улыбку пациентов. Особенно выражаю огромное уважение и признательность. А также хотелось выразить огромное уважение ассистентке Далар Людмиле Николаевне за четкость, внимательность и понимание, аккуратное отношение к пациентам.

21 февр. 2020 г.

Светлана П.

Не первый раз лечимся у этого врача. Прекрасный специалист со знанием своего дела. Под седацией поставили коронки ребенку, перенес хорошо. Зубик под коронкой не болит и прослужит ребенку подольше, без риска удаления.

16 апр. 2025 г.

Анна

Именно таким должен быть детский стоматолог! Вежливая, аккуратная, приятная доктор. Очень ласкова с ребёнком, хвалит, подбадривает, интересуется самочувствием во время лечения. Не употребляет слова 'сверлить', 'укол' и другие 'страшные' для детей. Даже шприц использует так, что ребёнок не заметил! Кроме этого, все подробно и доходчиво рассказывает и показывает (!) родителю. Высококлассный специалист и профессионал своего дела. Однозначно рекомендую.

21 мая 2023 г.

Евгения

Добрый день. Хочу выразить благодарность Наталье Евгеньевне за чуткое, внимательное и профессиональное отношение к своей работе. Обратилась с ребенком 5 лет для лечения пульпита 2-х зубов. Наталья Евгеньевна с ассистентом нашли подход к ребенку с первой минуты приема. За все время лечения ни у меня, ни у ребенка не возникло вопросов по лечению, и что не мало важно (!), не было слез!!! Спасибо Вам за красивые, здоровые зубки! Мы теперь Ваши постоянные пациенты. Так же очень понравилась работа администраторов на ресепшне! Еще раз спасибо!

6 окт. 2020 г.

Назарова Светлана

Хороший детский стоматолог, вылечила зубки у моего сына.

21 янв. 2019 г.

Наши специалисты
Кочетова
Юлия
Валерьевна
Стоматолог, Стоматолог-терапевт, Детский стоматолог
Стаж работы с 1993 года
Врач первой категории Врач высшей категории
Марьино
Тимошенко
Полина
Сергеевна
Стоматолог, Стоматолог-терапевт, Детский стоматолог
Стаж работы с 2019 года
Химки
Понкратова
Ольга
Александровна
Стоматолог, Детский стоматолог
Стаж работы с 2003 года
Марьино
Хасбулатова
Сабрина
Ибрагимовна
Стоматолог, Стоматолог-терапевт, Детский стоматолог
Стаж работы с 2010 года
Химки
Андреева
Елена
Александровна
Стоматолог, Стоматолог-терапевт, Детский стоматолог
Стаж работы с 1999 года
Марьино
Норовецкая
Светлана
Олеговна
Стоматолог, Стоматолог-терапевт, Детский стоматолог
Стаж работы с 2005 года
Зав. отделением стоматологии
Химки
Балуева
Вера
Михайловна
Стоматолог, Стоматолог-терапевт, Детский стоматолог
Стаж работы с 2013 года
Строгино
Бахаровская
Наталья
Евгеньевна
Стоматолог, Стоматолог-терапевт, Детский стоматолог
Стаж работы с 2006 года
Коммунарка
Сухрякова
Александра
Алексеевна
Стоматолог, Детский стоматолог
Стаж работы с 2009 года
Химки
Назарова
Янина
Николаевна
Стоматолог, Стоматолог-терапевт, Детский стоматолог
Стаж работы с 2012 года
Строгино
Юрченко
Любовь
Геннадьевна
Стоматолог, Стоматолог-терапевт, Детский стоматолог
Стаж работы с 2015 года
Коммунарка
Мамонтова
(Питерская)
Марина
Леонидовна
Стоматолог, Стоматолог-терапевт, Детский стоматолог, Стоматолог-хирург, Стоматолог общей практики
Стаж работы с 1999 года
Строгино

Полезные статьи

Ишемическая болезнь сердца

Кардиологическое отделение медицинских клиник IMMA предлагает воспользоваться услугой по лечению ишемической болезни сердца. Ранняя постановка диагноза – залог здорового сердца и долголетия.

Психотерапия

Паника, страх за здоровье, конфликты в семье, чувство внутреннего напряжения- знакомые симптомы?

Профилактика опухолей кишечника

Небольшая опухоль толстой кишки, симптомы которой практически не заметны, может не давать о себе знать в течение нескольких месяцев и даже лет.

Что такое ВАКЦИНАЦИЯ

В этой статье мне хотелось бы ответить на наиболее часто задаваемые вопросы по поводу проведения или не проведения профилактической вакцинации детей.

Особенности течения уретритов в зависимости от возбудителя

Выделено более 230 штаммов бактерий, которые при определенной ситуации способны вызнать воспаление слизистой уретры.

Имплантация зубов Osstem

Продукция компании успешно конкурирует с европейскими производителями, которые принято считать самыми лучшими в сфере имплантологии.

Мигрень: симптомы, причины, лечение

Мигрень - неврологическое заболевание, наиболее частым и характерным симптомом которого является интенсивная, зачастую односторонняя головная боль.

Нормы роста и веса детей и подростков

Анализ основных антропометрических показателей на момент обследования дает возможность оценить физическое состояние ребенка, в динамике – темпы физического развития.

Хронический пиелонефрит

Проявления хронического пиелонефрита зачастую скудные и проявляются в периоды обострений. Многие авторы отмечают волнообразность его клинического течения.

Когда обращаться к детскому гинекологу?

Детский гинеколог занимается профилактикой и лечением заболеваний половых органов девочек от рождения и до 18 лет.

Гипертония

Центр медицинских клиник IMMA оказывает широкий спектр услуг по диагностике, лечению и профилактике гипертонической болезни. Записаться на прием к кардиологу можно в ближайшем центре или по телефонам, указанных в контактах.

Синдром расстройства питания

При синдроме расстройства питания люди начинают испытывать сильное беспокойство по поводу внешнего вида своего тела.

Заболевания шейки матки

Когда женщины, обычно молодые девушки, сталкиваются с диагнозом эрозия шейки матки, они могут испытывать совершенно разные эмоции.

Детский загар. Что нужно знать родителям?

Солнечным излучением  называется  сочетание ультрафиолетовой радиации, видимого света и инфракрасного излучения. Благодаря последнему мы греемся на солнышке, а не мерзнем.

Насморк у детей

Насморк (ринит) – воспаление слизистой оболочки носа. Довольно распространенное у детей, и на первый взгляд безобидное заболевание. Однако это не совсем так.

Дополнительная вакцинация

Вакцины против пневмококковой инфекции эффективно сочетаются с гриппозными вакцинами, снижая частоту ОРЗ, включая бронхиты и пневмонию в 14 раз.

Химический пилинг

Хотите более ровный тон кожи, убрать пигментные пятна и мелкие морщинки? Сделать кожу лица более гладкой, здоровой, молодой? Все это возможно благодаря профессиональному химическому пилингу.

Как сохранить остроту зрения

Среди причин снижения остроты зрения, возникающих в детском и молодом возрасте, можно выделить близорукость, дальнозоркость, астигматизм.

Логопед

Речевые нарушения самостоятельно не исчезают, поэтому требуют коррекционной работы со стороны логопеда дефектолога.

Гепатит С

Гепатит С – одна из приоритетных проблем системы здравоохранения. Высокая степень распространенности, стертая симптоматика, тяжелые осложнения (цирроз, рак печени) и отсутствие вакцины делают заболевание крайне опасным не только для отдельного человека, но для общества в целом. В сети медицинских клиник ИММА Вы можете пройти профилактический осмотр, диагностику гепатита С и комплексную терапию заболевания.