Колл-центр работает ежедневно с 7-00 до 22-00
Записаться на прием

Лечение кариеса в Москве

Записаться на прием

Кариес – одно из самых распространенных заболеваний на планете, ведь он поражает почти 100% населения. Даже при очень высоком качестве гигиены кариес рано или поздно развивается у всех, и это одна из причин, почему в мире сложно найти человека, который никогда не бывал на приеме у стоматолога. Начальные стадии кариеса проходят незаметно, поэтому для его диагностики важны профилактические осмотры. Как для профилактического обследования, так и при появлении признаков чувствительности зубов вы можете обратиться в клинику IMMA, чтобы пройти лечение кариеса. У нас терапия проходит безболезненно, комфортно, эффективно, с отличным функциональным и эстетическим результатом.

Причины развития кариеса

Причиной кариеса становятся бактерии. Они выделяют кислоты, разрушающие зубную эмаль, а затем и более глубокие ткани.

Риск развития кариеса определяется с одной стороны качеством эмали: от её минеральной плотности и толщины зависит, какую бактериальную нагрузку способен выдержать зуб, с другой стороны – качеством гигиены ротовой полости и образом жизни человека. Этот фактор обеспечивает силу повреждающего воздействия на эмаль.

Изначальное состояние эмали зависит от генетики. Поэтому у некоторых людей при одинаковом уходе кариес развивается быстрее, чем у других.

Что ещё влияет на качество эмали:

  • количество фтора в питьевой воде;
  • состав слюны;
  • общее состояние здоровья;
  • образ жизни;
  • возраст.

Риск кариеса выше при увеличении количества бактерий во рту, которые вызывают это заболевание. Они накапливаются на зубах и образуют биопленки. Риск кариеса повышен при:

  • употреблении большого количества простых углеводов, преимущественно сладостей;
  • нерегулярной или несвоевременной чистке зубов (желательно чистить зубы сразу после еды, особенно если употреблялась сладкая пища);
  • недостаточной или неправильной чистке зубов.

Даже при качественной гигиене неконтактные и пришеечные поверхности зубов плохо очищаются. Поэтому риск кариеса выше у тех, кто никогда не ходит к стоматологу, чтобы выполнить профессиональную чистку ротовой полости.

Клиники, предоставляющие услугу
Алексеевская

м. Алексеевская (СВАО)

ул. 3-я Мытищинская, д. 14А

Марьино

м. Братиславская (р-он Марьино, ЮВАО)

ул. Перерва, д. 39, 41

Строгино

м. Строгино (СЗАО)

ул. Маршала Катукова, д. 24, к. 5

Юго-Западная

м. Юго-Западная (ЮЗАО)

ул. Никулинская, д. 5, к. 2

Коммунарка

м. Новомосковская (ТиНАО)

Липовый парк, д. 4, к. 1, стр. 1 (К1); д. 4, к.3, стр. 2 (К2)

Химки

м. Планерная (р-он Химки, СЗАО)

МО, г. Химки, ТЦ Мега Химки, мкр. ИКЕА, к.2

Клиники, предоставляющие услугу на карте
  • Постановка пломбы световой полимеризации из жидкого композита
    4 950 руб.
  • Постановка пломбы световой полимеризации
    5 990 руб.

Остались вопросы? Мы вам поможем

Оставьте свои данные, мы свяжемся с вами в ближайшее время и проконсультируем по всем вопросам

Какие виды и стадии кариеса мы лечим

Кариес в своём развитии проходит несколько стадий, от обратимого повреждения эмали до полного разрушения зуба: не только коронковой части, но и корня. При отсутствии адекватного лечения возможна потеря зубов и распространения кариозного процесса на соседние единицы.

Стадии развития кариеса:

  • Пятно. Во рту становится слишком много бактерий, которые выделяют кислоты. Они становятся причиной деминерализации зуба. На эмали появляются пятна. Субъективных ощущений нет. Так как пятна не всегда находятся на передней поверхности зуба, а поражение не ограничивается зубами в зоне улыбки, для многих пациентов эта стадия остаётся незамеченной. Чтобы выявить её вовремя, необходимы регулярные профилактические осмотры у стоматолога.
  • Поверхностный кариес. У человека появляется дискомфорт от употребления холодной и горячей еды, напитков. Эмаль зуба может стать шероховатой. Болевые ощущения отсутствуют.
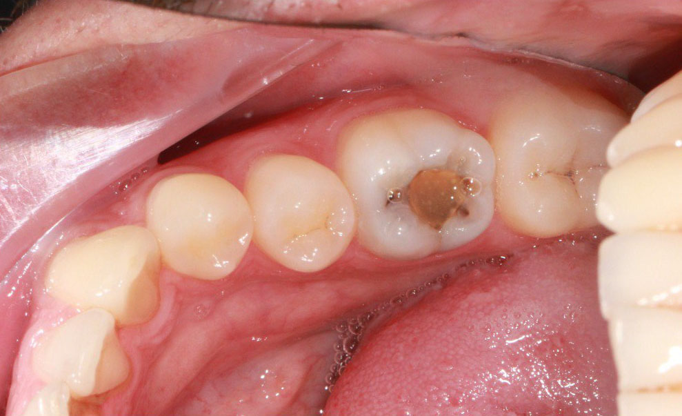
  • Средний кариес. Поражение выходит за пределы эмали. В процесс вовлекается дентин зуба. Теперь на чувствительность зубов влияет не только температура, но вкус пищи: чаще всего ухудшается переносимость кислых продуктов. Возможна боль при жевании. Дентин мягче, чем эмаль, поэтому средний кариес прогрессирует быстрее. На этой стадии образуются кариозные полости, требующие пломбирования зуба. В этих полостях застревает пища, которая затем разлагается и становится источником плохого запаха изо рта.
  • Глубокий кариес. Появляются крупные кариозные полости, возможно значительное разрушение коронковой части зуба. Зона поражения приближается к пульпе («нерву») зуба. Эмаль сильно истончена или отсутствует в области кариозного процесса. Зуб болит не только от термических и химических раздражителей, но и при механическом воздействии: становится больно жевать. Возможна боль в состоянии покоя. Глубокий кариес часто переходит в пульпит.

Диагностика и лечение кариеса в клиниках IMMA

Диагностика проводится на первом приеме врача. Она включает по меньшей мере осмотр ротовой полости. При обнаружении признаков патологии, врач выполняет дополнительные исследования: проводит зондирование, перкуссию проблемных зубов, витальное окрашивание.

По показаниям стоматолог направляет человека на рентгенографию. В нашей клинике используется современное оборудование для выполнения рентгеновских снимков, которое не только обеспечивает точную диагностику кариеса, но и минимизирует лучевую нагрузку на организм пациента. Рентген выполняется в день обращения, без задержек и очередей, а снимки сразу изучаются специалистом. На основе полученной диагностической информации принимаются клинические решения, проводится лечение кариеса.

Методы лечения кариеса в клиниках IMMA:

  • Консервативная терапия (проводится на ранней стадии): реминерализирующая терапия, фторирование лаком, каппами с гелем, глубокое фторирование эмаль герметизирующим ликвидом, герметизация фиссур.
  • Пломбирование зубов: применяется для закрытия кариозных полостей. В результате процедуры не только останавливается дальнейшее развитие кариеса, но и устраняется чувствительность зуба. Мы используем качественные пломбы с длительным сроком службы. Процедура проводится под местной анестезией, поэтому не доставляет человеку дискомфорта. В случае глубокого кариеса для защиты пульпы мы используем изолирующие прокладки.
  • Эндодонтическое лечение: требуется при глубоком кариесе с поражением пульпы. Мы проводим лечение корневых каналов зуба, удаляем инфицированную пульпу, восстанавливаем коронковую часть зуба.
  • Реставрация и протезирование зубов: применяется при значительном разрушении коронковой части зуба, с целью восстановления жевательной функции и эстетики зубного ряда. При необходимости используем накладки, вкладки, виниры, коронки. Восстановление зубов может быть прямым (во рту пациента) или непрямым (с изготовлением протезов или микропротезов в зуботехнической лаборатории).

Кроме восстановления поврежденных зубов, важно не допустить дальнейшего их кариозного повреждения. Поэтому пациентам рекомендуют тщательную домашнюю гигиену, фторсодержащие пасты, регулярную профессиональную чистку зубов у стоматолога. Даже после завершения всех лечебных процедур желательно показываться врачу раз в полгода в течение первых 1-2 лет, а затем – ежегодно.

Куда обратиться для лечения кариеса в Москве

Если вы заметили у себя за зубах пятна, ощутили дискомфорт при употреблении горячего и холодного, а также если вы не были у стоматолога более одного года, обратитесь в клинику IMMA. Почему стоит лечить кариес у нас:

  • Высокоточная лучевая диагностика на современном оборудовании.
  • Опытные врачи-стоматологи.
  • Применяются все современные виды лечения, от консервативной терапии фторсодержащими лаками до эндодонтического лечения, реставрации и протезирования зубов.
  • Всегда отдаем предпочтение сохранению зуба, и удаляем его только в крайнем случае.
  • Полностью безболезненное лечение с адекватной анестезией.
  • При большом объеме и/или травматичности лечения можем дополнительно использовать седацию.
  • Обучаем пациентов домашней гигиене, чтобы не допустить повторного развития кариеса.

В нашей клинике вы получите персонализированное, современное, безболезненное лечение, которое поможет вам избавиться от дискомфорта, восстановить жевательную функцию и эстетику зубного ряда.

Шуранова Мария Николаевна

Обратилась к Марине Леонидовне после неудачной установки пломб в другой клинике. Такое трепетное отношение к пациенту встречаешь нечасто. Марина Леонидовна превосходный специалист, предлагала разные варианты решения проблемы и видно сразу,что действительно "горит" своей работой и старается по максимуму помочь. Я слышала от знакомых такие же восторженные отзывы, поэтому и пришла. И теперь я точно знаю, что буду её постоянным клиентом.

22 дек. 2020 г.

Моисеева Е.Н.

Хотелось бы выразить благодарность Абакумовой Татьяне Александровне. За её клиентоориентированность и стремление помочь пациенту. Спасибо, после последнего посещения хочется вернуться (хотя про докторов, тем более стоматологов так думать не хочется).

23 мар. 2018 г.

Мария

Хочу выразить благодарность Марине Леонидовне за ее профессионализм и ответственное отношение к своему делу. Спасибо огромное!

16 июл. 2020 г.

Олеся

Хочу выразить благодарность Заречневой Е.Г. за ее работу, профессиональный подход даже к чувствительным клиентам )))). Теперь рекомендую Екатерину Григорьевну всем своим знакомым.

24 авг. 2022 г.

Андрей И.

Доктор Микаелян Армен Альбертович. Совсем не больно, спасибо доктору и ассистенту.

5 нояб. 2025 г.

Рабкина Евгения Федоровна

Кочергина Марина Игоревна - врач от бога! Сложные удаления провела так классно! Так безболезненно, что, согласитесь, не часто бывает! Операция проходила чётко, спокойно, с комментарием к последующим действиям. Спасибо, доктор! Всем, кому необходимо, рекомендую обращаться к Кочергиной М.И.

25 мая 2022 г.

Наталья

Замечательный доктор. Лечила у Татьяны Александровны зубы в 2008 году в городе Волжский. До сих пор пломбы стоят. очень аккуратно, бережно и как показало время качественно выполняет свою работу. Всем советую. Жаль, что больше не работает в нашем городе.

23 нояб. 2018 г.

Исайко Ирина Юрьевна

Хочу сказать большое спасибо стоматологу Михаилу Валерьевичу, что так КАЧЕСТВЕННО и безболезненно выполняет свою работу, за индивидуальный подход и профессионализм! Этот стоматолог лучший из лучших! Только ему я доверю лечение своих зубов! Спасибо вам огромное! И всем буду советовать только его!

9 дек. 2021 г.

Летов А.С.

Хочу выразить огромную благодарность Чекункову О.В. Супер отличный профессионал ! Спасибо большое за индивидуальный подход и профессионализм!

19 июн. 2025 г.

Зотов К.

Хочу поблагодарить Яхьяеву Карину Султановну за её работу и рекомендовать всем пациентам клинику именно этого стоматолога-терапевта! Она замечательный специалист, очень аккуратная, требовательная к мелочам, перфекционист! Особенное впечатление на меня произвёл следующий случай, произошедший со мной. Один из зубов требовал лечения. На приём к Карина Султановне не попал. Пошёл к другому стоматологу. Он осмотрел повреждённый зуб и сказал: "Лечить бесполезно. Надо вырывать". Но я решил не торопиться и обратился к Карине Султановне. И она вылечила этот зуб! Она тот специалист, который не ищет легких путей и берётся за работу, от которой другие отказываются. Ей пришлось повозиться с моим зубом, но результат того стоил! Ещё раз ОГРОМНОЕ ВАМ СПАСИБО!!!

11 окт. 2017 г.

Гоголев Павел Геннадьевич

Хочу выразить свою благодарность и сказать: "Огромное Спасибо, за ваш профессионализм!" Абакумовой Татьяне Александровне. С октября 21г. по февраль 22г. пролечил у неё все зубы. Качество лечения, подход к пациенту и сам результат на высшем уровне.

19 февр. 2022 г.

Бутенко Юлия

Хочу выразить благодарность Елене Александровне, грамотный, внимательный специалист. Доброжелательный врач, буду советовать знакомым. Спасибо.

1 дек. 2020 г.

Минаханум

Огромное спасибо Азамату Феликсовичу за профессионализм и человечность.

21 янв. 2022 г.

Марина Анатольевна

Была на приеме у стоматолога Тен В.Л.13.09.20. Доктор провела диагностику, объяснила тактику лечения моих проблемных зон, а также провела чистку зубного камня УЗ и аэрфлоу. Очень внимательная, процедура проведена аккуратно, одним словом, профессионал! Спасибо Валерии Львовне!

13 сент. 2020 г.

Овчинникова Татьяна

Огромное спасибо врачу-стоматологу Назаровой Я.Н. за внимательность, чуткость, профессиональный подход. Янина Николаевна грамотный и талантливый специалист, обладает высокими психологическими способностями и ювелирный мастер. Впервые столкнулась с таким пониманием, внимательностью и заботой, которая в сочетании с высоким профессионализмом и четкостью в работе дает потрясающие результаты и улыбку пациентов. Особенно выражаю огромное уважение и признательность. А также хотелось выразить огромное уважение ассистентке Далар Людмиле Николаевне за четкость, внимательность и понимание, аккуратное отношение к пациентам.

21 февр. 2020 г.

Оксана

Боязнь стоматологов, а особенно хирургов, это страх из детства. Спасибо Юлии Николаевне за её волшебные руки! Я даже не успела понять, что произошло, удаление прошло быстро, искусно и совсем не больно. Благодарю!

11 мар. 2021 г.

Александр

Выражаю свою благодарность стоматологу Уткиной Карине Анатольевне, за чуткое и профессиональное отношение к пациенту. Также хочу отметить высокое качество работы администратора Курнавиной Карины Владимировны. Очень внимательный, отзывчивый сотрудник. Большое спасибо им.

22 февр. 2025 г.

Наталья

Спасибо огромное Азамату Феликсовичу! Уникальный врач, как терапевт и как хирург. Делает свою работу на совесть! Успокоит и подбодрит особо боязливых пациентов) Всем своим друзьям и знакомым рекомендую только этого специалиста! Желаю Вам процветания и благодарных пациентов!

12 авг. 2019 г.

Марина

Хочу поблагодарить Эльвиру Магомедовну за оказанную качественную помощь! Пришла на банальный ежегодный осмотр, Эльвира Магомедовна сразу объяснила, что необходима удаление зубного камня и чистка air-flow. По лечению зубов, мне было предложено сделать КТ, на котором было все четко видно какие зубы необходимо вылечить. После удаления зубного камня и air-flow уже прошел месяц, зубки белые и красивые, дискомфорта или чувствительности зубов нет, все просто идеально прошло!

8 июл. 2023 г.

Екатерина

Удаление первого молочного зуба у ребёнка 5лет. Это опыт на всю жизнь. Если доктор будет выбран не правильно, то страх стоматологов останется с ребёнком. Мне кажется я боялась больше сына. Доктор сделала невозможное, влюбив ребёнка в себя. В Янине Николаевне прекрасно все, начиная от внешнего вида, заканчивая безусловно подходом к ребёнку и профессиональными действиями. Идём за вторым зубом как фее. Не больно (даже обезболили перед обезболиванием), не страшно, быстро и легко. Спасибо, доктор!

13 дек. 2020 г.

Наши специалисты
Шевчук
Ирина
Юрьевна
Стоматолог, Стоматолог-терапевт
Стаж работы с 2012 года
Марьино
Уткина
Карина
Анатольевна
Стоматолог, Стоматолог-терапевт
Стаж работы с 2013 года
Химки
Тимошенко
Полина
Сергеевна
Стоматолог, Стоматолог-терапевт, Детский стоматолог
Стаж работы с 2019 года
Химки
Точилова
Юлия
Николаевна
Стоматолог, Стоматолог-хирург, Стоматолог-имплантолог
Стаж работы с 2013 года
Зав. отделением стоматологии
Коммунарка
Юго-Западная
Мамонтова
(Питерская)
Марина
Леонидовна
Стоматолог, Стоматолог-терапевт, Детский стоматолог, Стоматолог-хирург, Стоматолог общей практики
Стаж работы с 1999 года
Строгино
Кочетова
Юлия
Валерьевна
Стоматолог, Стоматолог-терапевт, Детский стоматолог
Стаж работы с 1993 года
Врач первой категории Врач высшей категории
Марьино
Назарова
Янина
Николаевна
Стоматолог, Стоматолог-терапевт, Детский стоматолог
Стаж работы с 2012 года
Строгино
Тен
Валерия
Львовна
Стоматолог, Стоматолог-терапевт
Стаж работы с 2009 года
Зав. отделением стоматологии
Марьино
Норовецкая
Светлана
Олеговна
Стоматолог, Стоматолог-терапевт, Детский стоматолог
Стаж работы с 2005 года
Зав. отделением стоматологии
Химки
Пацкевич
Анастасия
Юрьевна
Стоматолог, Стоматолог-терапевт
Стаж работы с 2011 года
Марьино
Мусаева
Эльвира
Магомедовна
Стоматолог, Стоматолог-терапевт, Стоматолог-хирург, Стоматолог-имплантолог
Стаж работы с 2013 года
Кандидат медицинских наук
Коммунарка
Мовсесян
Инна
Сергеевна
Стоматолог, Стоматолог-терапевт
Стаж работы с 2001 года
Алексеевская
Марьино
Микаелян
Армен
Альбертович
Стоматолог, Стоматолог-терапевт, Стоматолог-ортопед
Стаж работы с 2007 года
Коммунарка
Дамиров
Шовкет
Фирудинович
Стоматолог, Стоматолог-терапевт, Стоматолог-ортопед
Стаж работы с 2018 года
Коммунарка
Юго-Западная
Шапошникова
Елена
Юрьевна
Стоматолог, Стоматолог-терапевт
Стаж работы с 2005 года
Строгино
Химки
Абакумова
Татьяна
Александровна
Стоматолог, Стоматолог-терапевт, Стоматолог-ортопед
Стаж работы с 2000 года
Кандидат медицинских наук Врач высшей категории
Юго-Западная
Саркисян
Анна
Романовна
Стоматолог, Стоматолог-терапевт
Стаж работы с 2008 года
Коммунарка
Балуева
Вера
Михайловна
Стоматолог, Стоматолог-терапевт, Детский стоматолог
Стаж работы с 2013 года
Строгино
Шипилова
Ольга
Вячеславовна
Стоматолог, Стоматолог-терапевт
Стаж работы с 2009 года
Юго-Западная
Аминулла
(Безносик)
Александра
Романовна
Стоматолог, Стоматолог-терапевт, Детский стоматолог
Стаж работы с 2021 года
Химки
Лебедева
Светлана
Михайловна
Стоматолог, Стоматолог-терапевт
Стаж работы с 2005 года
Коммунарка
Иванченкова
Наталья
Леонидовна
Стоматолог, Стоматолог-терапевт
Стаж работы с 1991 года
Врач высшей категории
Юго-Западная
Любимова
Галина
Константиновна
Стоматолог, Стоматолог-терапевт
Стаж работы с 1997 года
Марьино
Зорина
Ольга
Юрьевна
Стоматолог, Стоматолог-терапевт
Стаж работы с 2004 года
Строгино
Быкадоров
Виктор
Михайлович
Стоматолог, Стоматолог-терапевт, Стоматолог-хирург
Стаж работы с 2016 года
Алексеевская
Хубаев
Азамат
Феликсович
Стоматолог, Стоматолог-терапевт, Стоматолог-хирург, Стоматолог-имплантолог
Стаж работы с 2011 года
Марьино
Андреева
Елена
Александровна
Стоматолог, Стоматолог-терапевт, Детский стоматолог
Стаж работы с 1999 года
Марьино
Качалина
Дарья
Сергеевна
Стоматолог, Стоматолог-терапевт
Стаж работы с 2017 года
Алексеевская
Юго-Западная
Хасбулатова
Сабрина
Ибрагимовна
Стоматолог, Стоматолог-терапевт, Детский стоматолог
Стаж работы с 2010 года
Химки
Юрченко
Любовь
Геннадьевна
Стоматолог, Стоматолог-терапевт, Детский стоматолог
Стаж работы с 2015 года
Коммунарка
Кочергина
Марина
Игоревна
Стоматолог, Стоматолог-терапевт
Стаж работы с 2008 года
Коммунарка
Анисимова
Алина
Максимовна
Стоматолог, Стоматолог-терапевт
Стаж работы с 2011 года
Марьино
Егоян
Нана
Георгиевна
Стоматолог, Стоматолог-терапевт, Стоматолог-хирург
Стаж работы с 2004 года
Алексеевская
Курских
Людмила
Сергеевна
Стоматолог, Стоматолог-терапевт
Стаж работы с 2008 года
Алексеевская

Вопрос-ответ

Некоторым пациентам достаточно одного посещения специалиста, другим придется посетить доктора несколько раз. Длительность и стоимость лечения кариеса в Москве зависят от количества пораженных зубов и стадии кариеса.

Мы используем местную анестезию. Её достаточно, чтобы вы ничего не почувствовали во время лечения кариеса.

Обычно кариес не лечат в период острых инфекционных заболеваний, особенно респираторных инфекций, при обострении хронических болезней, в случае общего тяжелого состояния пациента. Большинство противопоказаний к лечению кариеса зубов являются относительными: после улучшения здоровья все необходимые процедуры должны быть выполнены.

Лечить кариес беременным можно. Анестезия при беременности не противопоказана.

Для профилактики кариеса необходимо обеспечить адекватную домашнюю гигиену. Наши врачи обучат вас правильной гигиене. Риск патологии поможет снизить фторсодержащая зубная паста. Желательно употреблять поменьше сладостей, а в случае употребления – сразу чистить зубы. Ещё один важный аспект профилактики: регулярно посещайте стоматолога для профессиональной чистки зубов, а также для лечения кариеса ранних стадий, чтобы затем не пришлось пломбировать или протезировать зубы.

Здоровым людям стоит посещать стоматолога ежегодно. После лечения кариеса частоту посещений желательно увеличить до 2 раз в год. Если вы не знаете, где пройти осмотр и недорого лечить зубы в Москве, обратитесь в клинику IMMA. Мы предоставляем качественные стоматологические услуги по хорошим ценам.

Полезные статьи

Что надо знать о менингите

Менингит - опасное заболевание, это воспаление оболочек головного и спинного мозга. Болезнь может возникнуть как самостоятельно, так и в качестве осложнения другого процесса.

Как ребенок должен разговаривать?!

Многие родители не замечают, что их ребенок плохо говорит, так как просто не знают, как должна развиваться речь у детей определенного возраста.

Гайморит: причины, симптомы и эффективные методы лечения

Гайморит нарушает носовое дыхание, вызывает лицевые боли, повышенную температуру тела и другие неприятные симптомы. Он может давать тяжелые осложнения, а у некоторых пациентов переходит в хроническую форму.

Ребенок часто болеет

Частые ОРЗ у детей представляют собой не только медицинскую проблему, ни и имеют серьезные социальные и экономические последствия.

Отит: причины, симптомы и современные методы лечения

Это термин, означающий, что ухо воспалено. Данный термин не является диагнозом, так как ухо состоит из трех частей, и каждая из них может воспалиться.

Профилактика меланомы

Не стоит ждать появления симптомов меланомы, ведь очевидные клинические проявления возникают только в неизлечимой стадии. Вместо этого уделите внимание профилактике и самообследованию.

Контроль за весом ребенка. Ожирение и факторы риска.

В современном обществе все чаще встречаются дети с избыточным весом, а также дети, страдающие ожирением.

Правила интимной гигиены для девочек.

Советы врача-гинеколога.

Логопед

Речевые нарушения самостоятельно не исчезают, поэтому требуют коррекционной работы со стороны логопеда дефектолога.

Болезни детского позвоночника

У новорожденного позвоночник имеет форму пологой выгнутой дуги, т.е. равномерного кифоза: в положении на спине на ровной поверхности позвоночник становится прямым.

СРК: причины, симптомы

Сеть медицинских клиник «IMMA» предлагает записаться на прием к опытному специалисту-гастроэнтерологу. Каждая из наших клиник укомплектована высококачественным диагностическим оборудованием, позволяющим максимально точно определить заболевание каждого пациента. Удобное расположение клиник позволит вам посетить врача рядом с домом или работой.

Когда обращаться к детскому гинекологу?

Детский гинеколог занимается профилактикой и лечением заболеваний половых органов девочек от рождения и до 18 лет.

Синдром расстройства питания

При синдроме расстройства питания люди начинают испытывать сильное беспокойство по поводу внешнего вида своего тела.

Детские инфекции

В жизни каждого ребенка, даже самого здорового, есть ситуации, которые требуют обязательного участия медицинских специалистов.

Имплантация зубов Osstem

Продукция компании успешно конкурирует с европейскими производителями, которые принято считать самыми лучшими в сфере имплантологии.

Противозачаточные таблетки

Противозачаточные таблетки – так женщины называют оральные контрацептивы.

Мигрень-есть решение!

Мигрень является одной из самых частых разновидностей головной боли. Как отличить, мигрень у пациента или нет? Диагноз мигрени ставится клинически лечащим врачом-неврологом на основании жалоб пациента, при наличии характерных признаков и отсутствии других причин головной боли по результатам обследования.

Ошибки летнего питания

В данной статье мы расскажем про распространенные ошибки питания в летний период – надеемся, что эта информация будет для вас полезной!

Удаление зубного камня и профессиональная чистка зубов

Многие пациенты обращаются к врачу с просьбой «сделать чистку». Что подразумевается под этим и насколько это безопасно для зубов пациента?

Планирование и ведение беременности

Планирование беременности – эти слова все чаще и чаще употребляются на приеме врача гинеколога. А что же стоит за этими словами?