Лечение вторичного кариеса и эстетическая реставрация
История пациента
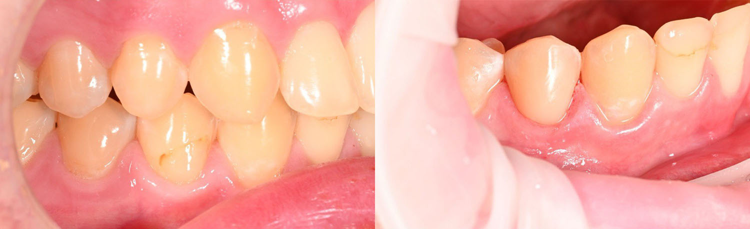
Пациент обратился в клинику с плановым запросом — заменить старую пломбу, установленную несколько лет назад. Визуально зуб не вызывал выраженных жалоб, однако пациент отмечал потемнение пломбы и сомнения в её надёжности.
Цель визита
- замена старой пломбы
- оценка состояния тканей зуба
- восстановление эстетики и функции
Диагностика
В ходе осмотра было выявлено развитие вторичного кариеса под пломбой. Это распространённая ситуация, когда со временем между пломбировочным материалом и тканями зуба нарушается прилегание, что создаёт условия для повторного кариозного процесса.
Проведённое лечение
- удаление старой пломбы
- лечение вторичного кариеса
- восстановление анатомической формы зуба 44
- реставрация современным пломбировочным материалом Estelite
Материал Estelite был выбран благодаря его высокой прочности, отличной эстетике и способности точно имитировать естественные ткани зуба.

Результат
- полностью устранён кариозный процесс
- восстановлена анатомия и функция зуба
- пломба не отличается от собственных тканей по цвету и блеску
- пациент получил надёжный и эстетичный результат
Почему важна своевременная замена пломб
Даже качественные пломбы со временем требуют контроля и, при необходимости, замены. Это позволяет избежать осложнений и сохранить зуб здоровым на долгие годы.