Процедура: Ортодонтическое лечение (коррекция прикуса).
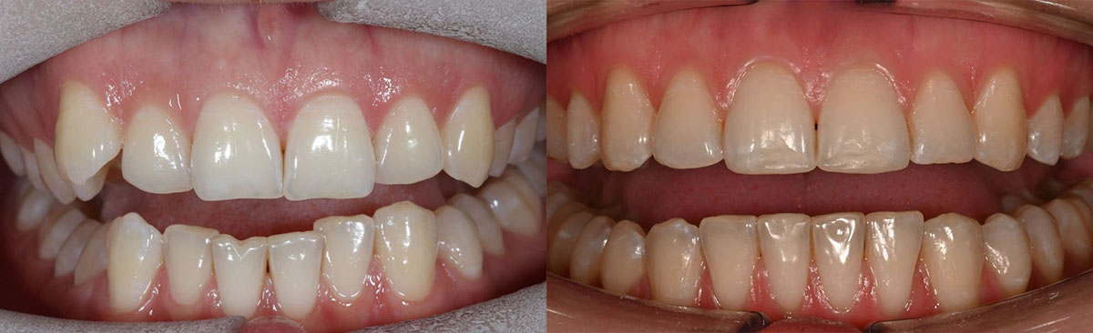
Проблема
Пациент обратился с жалобой на сильно торчащий клык. Он вырос неправильно из-за дефицита места для прорезывания в зубном ряду.
Что сделали
Лечение проходило в два этапа:
- Первый. Использовали аппарат Motion 3D (Class II) в течение 6 месяцев. Так мы создали пространство для клыка и скорректировали окклюзию (смыкание) без удаления здоровых зубов.
- Второй. Установили брекет-систему на 18 месяцев для выравнивания каждого зуба.
Результат
Клык возвращен в зубную дугу, сформирован правильный прикус и ровный, гармоничный зубной ряд. Общая длительность ортодонтического лечения составила 24 месяца.

О процедуре
Ортодонтическое лечение – это сложный и длительный процесс перемещения зубов и коррекции челюстного аппарата. Комбинированный протокол (Motion + брекеты) считается «золотым стандартом» при дефиците места в ряду. Аппарат Motion на первом этапе берет на себя самую сложную работу по перемещению жевательных зубов, что в дальнейшем сильно упрощает и сокращает период ношения брекетов.