Колл-центр работает ежедневно с 7-00 до 22-00
Записаться на прием

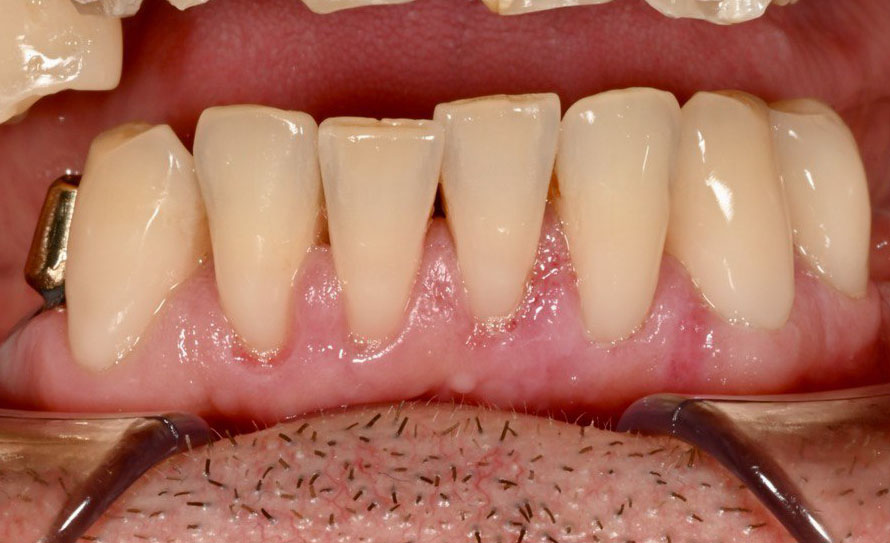
Лечение кариеса Кейс №1

Процедура: Лечение кариеса и эстетическая реставрация.

Ситуация: Пациент обратился для полной санации полости рта. При осмотре был выявлен множественный кариес, требующий оперативного вмешательства для сохранения здоровья и эстетики зубного ряда.

Что сделали: Провели комплексное лечение кариозных поражений в области нижних фронтальных зубов. Для восстановления анатомической формы и цвета использовали премиальный светоотверждаемый материал Estelite Asteria. Выполнили художественную реставрацию 7 зубов. Нам удалось полностью воссоздать естественный вид эмали.

Результат: Полное восстановление жевательной и эстетической функции. Зубы выглядят естественно, границы пломбировочного материала незаметны даже при тщательном осмотре.

Реабилитация: Не требуется. Пациент вернулся к обычному образу жизни сразу после окончания действия анестезии.

О процедуре: Лечение кариеса с последующей реставрацией – не просто установка пломбы, а воссоздание утраченных тканей. Использование современных композитов (в нашем случае – Estelite), имитирует внешний вид живого зуба: не только цвет, но и прозрачность, блеск, микрорельеф. Лечение кариеса и реставрация важны не только для красоты, но и для правильного распределения жевательной нагрузки, чтобы предотвратить дальнейшее разрушение зубов.

Уткина Карина Анатольевна
Стоматолог, Стоматолог-терапевт
Стаж работы с 2013 года
Химки
Записаться на прием