История пациента
Пациент обратился в клинику с жалобами на периодические боли при жевании, повышенную чувствительность отдельных зубов и неудовлетворительную эстетику фронтальной группы. Со слов пациента, ранее стоматологическое лечение проводилось нерегулярно, что со временем привело к развитию множественных кариозных поражений и осложнений со стороны корневых каналов.
Диагностика
В ходе клинического осмотра и рентгенологического обследования выявлены множественные очаги глубокого кариеса, а также хронические воспалительные процессы в области верхушек корней отдельных зубов (хронический апекальный периодонтит). Дополнительно отмечались эстетические дефекты фронтальной группы зубов, связанные с изменением цвета и формы.
На основании полученных данных был составлен комплексный план лечения, направленный на устранение очагов инфекции, восстановление функции зубов и улучшение эстетики улыбки.

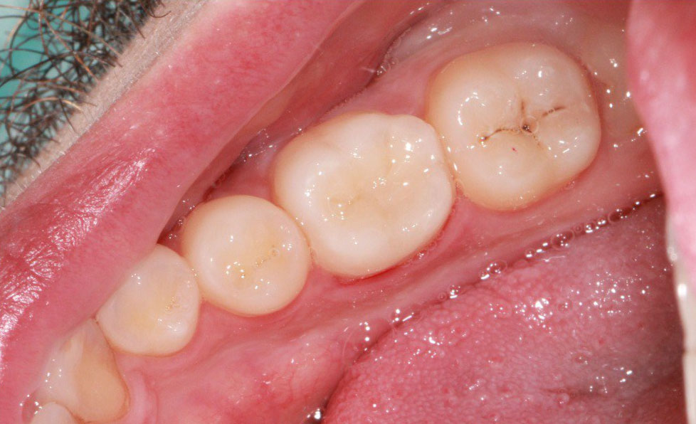
Лечение кариеса
Проведено лечение глубокого кариеса с восстановлением анатомии и функциональности зубов:
- зубы 1.6, 3.6, 3.7, 3.7, 2.5, 1.4 восстановлены с применением современного композитного материала CeramX;
- в ходе лечения удалены поражённые кариесом ткани, сформированы реставрации с учётом естественной анатомии зубов и окклюзионных контактов.
Использованный материал обеспечивает высокую прочность реставраций и эстетичный внешний вид.
Эндодонтическое лечение
Проведено лечение хронического апекального периодонтита:
Зуб 4.6 — лечение в два посещения:
- первое посещение: распломбировка и механическая обработка корневых каналов машинными инструментами, медикаментозная обработка, внесение лекарственной повязки Calasept под временную пломбу;
- второе посещение: повторная обработка каналов и окончательное пломбирование системой AH+ и гуттаперча.
Рентгенологический контроль через 12 месяцев подтвердил заживление очага воспаления.
Зуб 2.5 — лечение по аналогичному протоколу в два посещения.
Рентгенологический контроль через 6 месяцев показал положительную динамику и заживление периапикальных тканей.
Эстетическая реставрация
Для восстановления эстетики улыбки выполнено художественное восстановление коронковой части зубов 1.3, 1.2, 1.1, 2.1, 2.2, 2.3 с использованием композитных виниров на материале Estelite.
Реставрации позволили скорректировать форму, цвет и пропорции зубов, добившись естественного и гармоничного внешнего вида.
Результат
В результате комплексного лечения устранены очаги кариеса и хронического воспаления, восстановлены функция и анатомия жевательных зубов, значительно улучшена эстетика фронтальной группы. Пациент отметил исчезновение дискомфорта при жевании и удовлетворённость внешним видом улыбки.
Проведённое лечение позволило полностью санировать полость рта и создать стабильный функциональный и эстетический результат.