История пациента
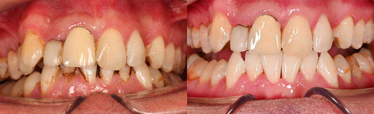
Пациент обратился в клинику с жалобами на изменение цвета зубов, ощущение шероховатости на их поверхности и периодическую кровоточивость десен во время чистки. Со слов пациента, профессиональная гигиена ранее проводилась нерегулярно, что со временем привело к ухудшению внешнего вида зубов и дискомфорту в полости рта.
Диагностика
В ходе первичного осмотра выявлено значительное количество пигментированного налета и твердых зубных отложений, особенно в пришеечной области и на внутренней поверхности зубов. Также отмечались признаки воспаления десен, характерные для начальных проявлений гингивита. Пациенту были даны рекомендации по проведению комплексной профессиональной гигиены полости рта.
О процедуре
Профессиональная гигиена полости рта с применением технологии AirFlow — это современный и щадящий метод удаления мягкого налета и пигментации. Аппарат подает направленную струю воды, воздуха и мелкодисперсного порошка, что позволяет эффективно очищать поверхность зубов, включая труднодоступные участки, не повреждая эмаль.
Процедура является важной профилактической мерой, поскольку помогает снизить риск развития кариеса и заболеваний пародонта, а также значительно улучшает эстетику улыбки.
Лечение
Пациенту проведена комплексная профессиональная гигиена полости рта. На первом этапе выполнено удаление твердых зубных отложений. Далее с использованием аппарата AirFlow произведено удаление пигментированного налета и мягких отложений с поверхности зубов. Завершающим этапом стала полировка эмали, направленная на создание гладкой поверхности и замедление повторного накопления налета.

Результат
После процедуры отмечено значительное улучшение цвета зубов и их внешнего вида. Поверхность эмали стала гладкой и чистой, уменьшились признаки воспаления десен. Пациент получил индивидуальные рекомендации по гигиене полости рта и поддерживающему уходу.