Колл-центр работает ежедневно с 7-00 до 22-00
Записаться на прием

Гигиена полости рта аппаратом Airflow

Услуга: Комплексная профессиональная чистка зубов

История пациента

Пациент обратился в клинику с жалобами на кровоточивость дёсен во время ежедневной чистки зубов. Также отмечал ощущение налёта и недостаточной чистоты, несмотря на регулярный домашний уход.

Цель визита

  • устранить кровоточивость дёсен
  • удалить зубные и зубодесневые отложения
  • улучшить общее состояние полости рта

Осмотр и диагностика

Во время осмотра было выявлено:

  • выраженное скопление пигментированного налёта
  • наличие зубодесневых отложений, провоцирующих воспаление дёсен

Такие изменения часто становятся причиной кровоточивости, неприятных ощущений и могут привести к заболеваниям дёсен при отсутствии профессиональной гигиены.

Проведённая процедура

Пациенту была выполнена комплексная профессиональная гигиена полости рта, включающая:

  • очищение зубов аппаратом Airflow
  • удаление твёрдых отложений с применением ультразвука
  • финишную полировку зубов щёткой и пастой

Процедура прошла комфортно и не потребовала восстановления.

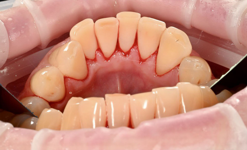
Результат

  • полностью удалён пигментированный налёт и зубодесневые отложения
  • уменьшилась кровоточивость дёсен
  • зубы стали заметно светлее и гладкими
  • улучшилось общее состояние дёсен и полости рта

Пациент остался доволен результатом и отметил ощущение чистоты уже после первого визита.

Почему важна профессиональная гигиена

Регулярная профессиональная чистка помогает:

  • предотвратить заболевания дёсен
  • снизить риск кариеса
  • сохранить здоровье зубов и дёсен
  • усилить эффект домашнего ухода
Уткина Карина Анатольевна
Стоматолог, Стоматолог-терапевт
Стаж работы с 2013 года
Химки
Записаться на прием