История пациента
Пациент обратился в клинику с запросом на улучшение эстетики центральной группы нижних зубов. Со слов пациента, со временем внешний вид зубов стал вызывать выраженный психологический дискомфорт: появились заметные изменения цвета, неровности и дефекты в пришеечной области. Пациент отмечал, что стал стесняться улыбаться и испытывал неуверенность при общении.
Диагностика
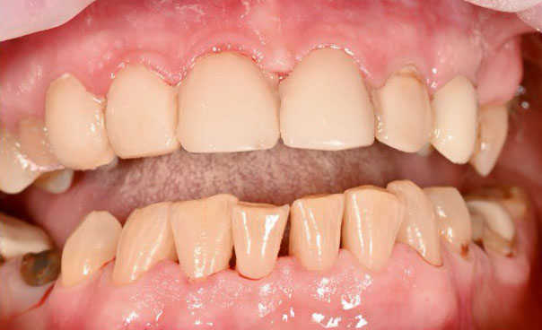
При клиническом осмотре были выявлены эстетические нарушения твердых тканей зубов 42, 41 и 31, а также выраженные пигментированные отложения и участки деминерализации эмали. После диагностики и согласования плана лечения было принято решение о проведении эстетической реставрации.
О процедуре
Эстетическая реставрация — это современный щадящий метод восстановления формы, цвета и анатомии зубов с использованием высокоэстетичных композитных материалов. Процедура позволяет устранить дефекты эмали, скорректировать контуры зубов, закрыть трещины и сколы, а также добиться максимально естественного внешнего вида.
Лечение
Лечение проводилось с применением композитного материала Estelite, который отличается высокой прочностью, стабильностью цвета и отличными оптическими свойствами. На первом этапе была выполнена профессиональная очистка поверхности зубов. Далее врач провёл минимально инвазивную подготовку твердых тканей, послойное нанесение композита с точным подбором оттенка и восстановлением анатомической формы зубов. Завершающим этапом стала шлифовка и полировка реставраций для достижения естественного блеска и гладкости.

Результат
В результате лечения восстановлена эстетика зубов 42, 41 и 31, нормализован цвет и форма зубного ряда. Пациент отметил значительное улучшение внешнего вида улыбки и повышение уверенности в себе.