Ортодонтическая коррекция без брекетов и пластинок.
Услуга: элайнеры для детей
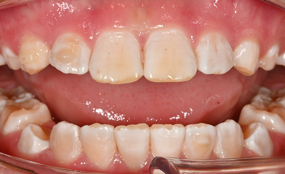
Ситуация
К нам часто обращаются родители маленьких пациентов с похожим запросом:
пластинки ребёнок носить не хочет, брекеты — тем более, а прикус, положение зубов или эстетика улыбки уже требуют коррекции.

Решение
Современной и комфортной альтернативой частичным брекет-системам и съёмным пластинкам являются детские элайнеры — прозрачные каппы, которые мягко и эффективно исправляют прикус и выравнивают зубы.
Почему были выбраны элайнеры
Детские элайнеры имеют ряд преимуществ, особенно важных для пациентов младшего возраста:
- практически незаметны при ношении
- не натирают слизистую и не вызывают болезненных ощущений
- отсутствуют внеплановые визиты из-за поломок или потери элементов
- не требуют ограничений в питании — каппы легко снимаются во время еды
- с ними проще говорить, чем с ортодонтическими пластинками
- простой и понятный уход
- контрольные приёмы — в среднем 1 раз в 4–6 недель

Ход лечения
Перед началом лечения был проведён ортодонтический осмотр и составлен индивидуальный план коррекции.
Пациентка носила элайнеры по рекомендованному режиму, что позволило достичь прогнозируемого результата в запланированные сроки.
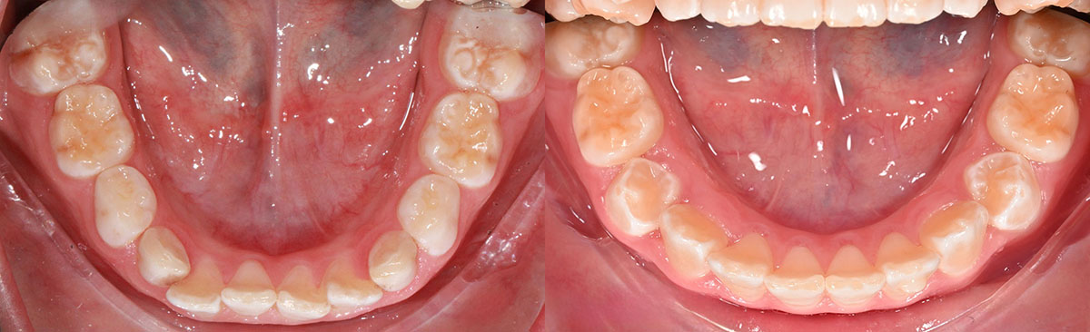
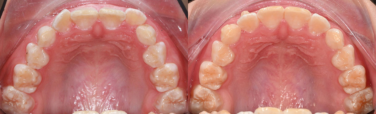
Результат
- улучшено положение зубов
- скорректирован прикус
- сформирована аккуратная, гармоничная улыбка
Пациентка довольна результатом, а лечение прошло спокойно и без стресса.

Кому подойдёт этот метод
Детские элайнеры — отличное решение, если:
- ребёнок и родители мотивированы на лечение
- нет сложностей с дисциплиной ношения
- важны комфорт и эстетика
- бюджет позволяет выбрать более современный вариант ортодонтической коррекции